Docteur Corinne Schneider
CHIRURGIEN-DENTISTE
16 place Xavier Jourdain, 68130 ALTKIRCH
+33 3 89 40 00 81

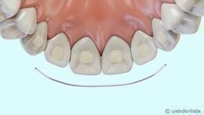
Fil de contention


video-play-icon

Articles similaires

Création par Webdentiste

Connexion